Zurück zur Präparateauswahl

 
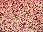
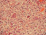
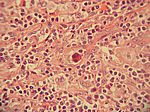
Morbus Hodgkin, Giemsa
spez62-0 spez62-1
spez62-2 spez62-3
spez62-4

Zurück zur Präparateauswahl