Zurück zur Präparateauswahl

 
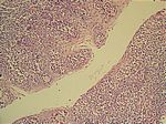
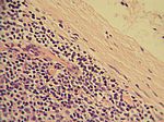
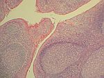
Tonsillenhyperplasie, HE
spez56-0 spez56-1
spez56-2 spez56-4
spez56-5 spez56-6
spez56-7 spez56-8

Zurück zur Präparateauswahl