Zurück zur Präparateauswahl

 
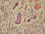
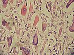
Riesenzellmyokarditis, HE
spez04-0 spez04-1
spez04-2 spez04-3
spez04-4 spez04-5
spez04-6

Zurück zur Präparateauswahl