Zurück zur Präparateauswahl
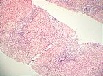
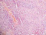
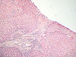
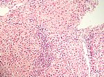
Aktive aggressive chronische Hepatitis, HE
Zurück zur Präparateauswahl
Home
|
Spezielle Pathologie
|
Link Disclaimer
|
Contact