Zurück zur Präparateauswahl
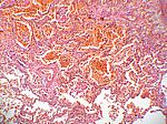
Hämorrhagischer Lungeninfarkt, HE
Zurück zur Präparateauswahl
Home
|
Spezielle Pathologie
|
Link Disclaimer
|
Contact