Zurück zur Präparateauswahl
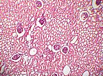
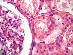
Schockniere, HE
<
Zurück zur Präparateauswahl
Home
|
Spezielle Pathologie
|
Link Disclaimer
|
Contact